-
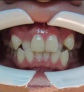
在新疆整形医院徐文飞做的牙齿矫正让我拥有了自信,附前后对比图
其实我自身的牙齿情况还是比较整齐的,就是前面的牙齿有点前突,来到新疆整形医院后,徐云飞医生说我的牙齿还存在着覆盖的情况,所以才令我每次大笑的时候都致使我的牙龈露出
整形案例2021-01-17 -
医生王丽君隆鼻怎么样?鼻部手术恢复果图
从小到大我就很注意自己的外表,我天生的鼻子是种矮鼻子的状态,令整个面部不立体,所以我想做隆鼻这件事情已经想了好长的一段时间了,后来朋友给我介绍了王丽君医生,来到这
整形案例2021-01-16 -
刘丽娜医生的技术怎么样?附眼部整形恢复过程
就是因为自己是单眼皮,然后还有些小内双,所以觉得自己的眼睛是那样的小,还无神,一点都不好看,整日给别人的感觉就是没有睡醒吧,后来我看见朋友做了双眼皮,而且果较为
整形案例2021-01-16 -
光子嫩肤果好吗?2例案例前后对比图
几乎所有人都知道,没有良好的皮肤质量,就没有办法谈论皮肤健康。不断发展的美容技术,为养颜健康创造了更为有利的条件。每天,很多人都因为他们的肤色比较暗,所以不能表现
整形案例2021-01-16 -
医生韦瑞莲的鼻部手术做的好吗?90天的恢复图
鼻子的形状真的会影响很多,我之前的鼻子就是太踏,然后鼻头也不怎么好看,就显得整个人没有特色,谁让自己所工作的公司有那么多的美女呢,与他们站在一起,感觉自己有些自卑
整形案例2021-01-16 -
何如潭医生切割双眼皮的果如何?附手术前后的对比图
很多同事都说我比较可爱也爱笑,每次笑起来就像向日葵一样灿烂。但是我自己知道,每次不笑的时候,整个人就像没有睡醒的样子,这就是单眼皮的缺点,会显得整个人丝毫没有精神
整形案例2021-01-16 -
兰州明伦整形医院的面部脂肪填充做的可以吗?附三个月的前后对比图
脸部如果凹陷的话,那么肯定会较为显老的,我只不过才20多岁的年龄,但整个人却看上去像个三四十岁的老阿姨,就连大我10岁的表姐都要比我年轻了,这让我真的较为自卑,之前我有
整形案例2021-01-16 -
叶海云医生内窥镜可视丰胸果好吗?手术80天前后对比图
从小到大我都被别人夸的长得很漂亮,同时也成为了老妈重点培养的对象,在各方面我都要处处好的吧,所以从小到大我一直是一个很骄傲的人,但是自从上了初中,我的胸部就开始停
整形案例2021-01-16 -
王斌仁和原生美眼案例果如何?案例前后对比图
其实之前很早我就有想做过眼睛这个想法了,因为我天生的单眼皮,真的看起来不好看,每次化妆都需要贴双眼皮贴,但是久而久之发现自己的眼皮有些松弛了,我也意识到这一问题的
整形案例2021-01-16 -
整形医生任向群隆胸整形案例怎么样?附前后对比图隆胸案例
好几次都想和朋友们打听到底哪位医生做隆胸果比较好,但是有时候又感觉自己不好意思。后来确实是看到了一位同事做了隆胸手术,变得是那样的丰满,所以我就鼓起勇气向他问了
整形案例2021-01-16 -
光子嫩肤哪家医院好?案例有吗?
人人都想有白皙的皮肤,但很多人因为后天的晒黑或护理不当,皮肤变得暗淡,有的人皮肤天生就是黑的。不管是先天不白还是后天不白,我们都可以利用整形的方法来将自己的肤色进
整形案例2021-01-16 -
任向群医生擅长注射瘦脸的注射吗?附三个月的前后对比图
随着年龄的增长,我发现自己下颌处的肉比较松弛,然后又有一些微微的内缩。就是显得整个人皮肤是那种松松垮垮较为显老吧,后来我在网上咨询了任向群医生,任医生给我仔细的分
整形案例2021-01-15 -
任向群医生玻尿酸全脸注射果可以吗?附真人恢复过程
其实作为一个身材比较瘦的人也有很大的烦恼,我的脸上就是那种没有肉,然后显得整个人较为憔悴,又有种凶巴巴的感觉吧,和我的年龄完全不符,一点少女感也显现不出来,后来被
整形案例2021-01-15 -
冯晓明医生做的原生翘睫双眼皮怎么样?恢复果图一览
终于下定了决心要做自己的手术了,冯晓明医生给我设计的是双眼皮+开眼角,然后再进行去皮去脂。等待进行这个手术已经有好几年的时间了,之前就是一直犹豫不决,不知道该如何去
整形案例2021-01-15 -
西安汉唐整形美容医院的擅长优势?附假体隆鼻案例恢复图
不知不觉做完假体隆鼻手术已经有一个月的时间了,目前恢复的挺自然的,我的假体并没有出现透光的现象,也没有出现任何的变形,引起什么不必要的后遗症。相信之后的恢复会越来
整形案例2021-01-15
