湖州龋齿治疗整形医院哪家好?龋齿治疗整形案例+口碑介绍+医师介绍
湖州的鼎植口腔医院这是一家在业界里较为有名气的口腔医疗医院,拥有一个专家与一个有经验管理的团队是在一起组成的集口腔医疗的连锁管理、机构投资、医学教育和供应链为一体的生态型集团公司。 在湖州鼎植口腔医院里是拥有口腔的正畸科、口腔的种植科、口腔的修复科、牙周的病科以及儿童口腔科等科室。 湖州鼎植口腔医院里拥有鼎植医生集团较专业的医生专家团队,不需要走出湖州,就能享受到国际前沿技术和诊疗服务。 鼎植医生集团的专家都会在湖州不定期亦或者定期的进行出诊,这样就给在湖州的群众提供较专业较优良的医疗服务。

曹振医生是我们湖州的鼎植口腔医较为有资历和丰富经验的医生,对口腔知识的理论是较为夯实的,而且在口腔临床岗位工作很多年,对口腔知识的理论是较为夯实的,而且临床是相当的经验丰富,尤其在口腔里常见疾病的诊断与治疗上积攒了较为丰富的经验,而且是较为擅长牙齿的美容修复,例如全瓷牙的修复、烤瓷牙的修复、嵌体的修复、龋齿的修复等等。
而且曹振医生对自己的工作是较为的喜爱,除了在上班之余平常还会去观阅有关口腔方面的书籍,除此之外他为了更好的来提高自己在技能的方面,还去过大庆油田总医院口腔科,哈尔滨医科大学附属第1医院进修学习。
较重要的是曹振医生在给治疗者进行治疗的时候,曹振医生会把较先进口腔的理念来口述给顾客听,让顾客对与口腔方面有更深的认知和了解,在对于的微创治疗领域里是颇有自己的心得感悟的。

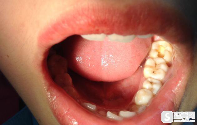
手术前
顾客是吴女士,来到我们湖州的鼎植口腔医院时简单的向医生描述了她的情况,根据吴女士自己说,她自己平时较为的喜爱吃糖,而且据吴女士自己说她好多次在睡觉前都还要在去吃几颗糖,吃完糖后也不去刷牙直接就睡了,吴女士具体不知道是什么时候开始,吃东西的时候就感觉到牙齿十分的疼,而且吴女士自己也没有太去注意,但是直到后来越来越痛,冷、热、酸、甜感觉都的十分明X后,才拿镜子进行了观察,这一看可把她自己也给吓了一大跳,吴女士的牙齿上不知道什么时候居然多了三个洞,牙洞还十分大无时无刻都在疼,这才想起到医院进行治疗,所以来到了我们湖州的鼎植口腔医院进行了治疗。

手术后
在手术后我们的曹振医生使用药剂加养与材料填补对吴女士的龋洞进行了有填充,还在手术过程中告诉她这是来的还算早一点,如果要是再来的晚一点,就要把牙连神经杀死,之后在去做根管手术,吴女士听闻后也是对此是感到后怕。

手术后的吴女士经过了一段时间的修养,让药与添补的东西都彻底的融入了牙洞,吃东西也正常了而且也不再疼了。
还有整形疑惑?想了解更多整形医院价格信息?可以点击【在线咨询】与整形顾问一对一沟通,免费为您提供医院对比、医生对比、价格对比等服务喔~!
